Un Halloween molto, molto particolare
Un Halloween molto, molto particolare. È una mattina del trentuno di ottobre. Il bar è addobbato per Halloween: sul bancone, zucche di tutte le forme, scolpite in espressioni sinistre; sui muri, grandi e ripugnanti ragnatele. La cassiera Adriana, che è una grande osservatrice, si accorge, mentre si adopera con le stoviglie, che sono appena entrati una donna e il suo bambino. Coi volti inespressivi, si avvicinano a passi lenti alla cassa. Sembrano arrivare entrambi dall’oltretomba: il bambino ha il volto pallido, le labbra grigie e gli occhi incavati; la madre sembra esausta, senza forze.

– Buongiorno! Cosa vi posso servire?
– Prendiamo due biscotti e un cappuccino, grazie.
Che strano vedere, al mattino, una mamma e il proprio figlio insieme in un bar. E la scuola? Oggi, deduce Adriana, per loro è forse una giornata diversa. Lei non saprà nulla di loro, ma quella mamma e suo figlio sono reduci da un mese terribile in ospedale.
Otto mesi prima
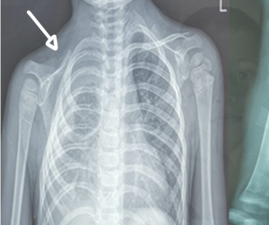
Tutto era cominciato otto mesi prima di quell’Halloween, quando il bambino aveva cominciato ad avvertire dolori diffusi alla schiena. Una notte, poi, si era svegliato di notte molto agitato, senza fiato, ed erano corsi al pronto soccorso. Poggiato il fonendoscopio sulla schiena del bambino, la pediatra aveva notato che nell’emitorace destro i rumori respiratori erano molto ridimensionati rispetto alla norma e gli aveva prescritto una radiografia. L’esame aveva rilevato del liquido all’interno della pleura, il tessuto membranoso che riveste i polmoni. Con grande sorpresa del medico, nelle lastre non si riuscivano a vedere la clavicola destra e alcune vertebre. Alcuni giorni dopo, una biopsia ossea avrebbe chiarito la situazione: alcuni vasi linfatici, attraversando l’osso, avevano creato delle zone di riassorbimento e riduzione del midollo.

La malattia dell’osso fantasma
Questi cambiamenti patologici a carico del tessuto osseo corrispondevano a quelli che si osservano nella malattia rara di Gorham-Stout, comunemente nota come malattia dell’osso fantasma. Si tratta di una patologia molto rara, caratterizzata dallo sviluppo anomalo dei vasi sanguigni e linfatici che causa progressiva distruzione dell’osso. Nel caso di Matteo, la miscela di liquido linfatico e minerali ossei aveva causato un versamento pleurico, il chilotorace, motivo dei suoi problemi respiratori.
Fortunatamente le cure che i medici avevano scelto per Matteo facevano effetto ed il chilotorace si era risolto. Il bambino, però, continuava a respirare male ed il suo cuore batteva veloce. Un giorno, venne intubato d’urgenza ed inviato in rianimazione, perché il liquido era finito nel pericardio, la membrana che circonda il cuore.
I medici, affranti, proposero allora, in una riunione multidisciplinare, di tentare un trattamento sperimentale mirato alla causa della malattia, utilizzato solo per un altro bambino al mondo. Questo trattamento prevede intervento chirurgico, radioterapia e somministrazione di due farmaci: un anticoagulante e un potente antitumorale con proprietà antinfiammatorie, l’Interferone Alfa.
Il protocollo sperimentale salvò Matteo, ma, purtroppo, non lo guarì. Purtroppo per la Sindrome di Gorham-Stout non esistono cure definitive. Una speranza, tuttavia, pare esserci: si tratta di anticorpi monoclonali, tra cui il Bevacizumab, studiato e utilizzato in via sperimentale dalla Divisione di Ematologia dell’Università dell’Alabama. Questo anticorpo lavorerebbe per bloccare non solo il riassorbimento osseo, ma anche la crescita incontrollata dei vasi linfatici e sanguigni.
L’incontro
La mamma di Matteo, uscita dalla farmacia, tornò al bar e Adriana ne fu, per qualche motivo, felice:
– È la signora che entrata poco fa col bambino?
– Il bambino?
– Signora, circa mezz’ora fa era qui al bar in compagnia di un bambino… Dico bene?
– Poco fa ho fatto colazione qui, sì, ma ero da sola. Mio filglio oggi avrebbe compiuto quattro anni.
Era certo un Halloween molto, molto particolare. Adriana non l’avrebbe più dimenticato.

Questo racconto di medicina narrativa è stato pubblicato su Il Bugiardino, mensile di Medicina e Medical Humanities.





Lascia un Commento
Vuoi partecipare alla discussione?Sentitevi liberi di contribuire!